Has a darkened tooth ever made you hesitate to smile? A dead tooth can feel like a setback, but a root canal treatment can restore both function and confidence. In this guide, we’ll explore the dead tooth root canal before and after process, from spotting symptoms to understanding the procedure and seeing real results. Keep reading to learn how this treatment can transform your smile!
What Is a Dead Tooth and Why Does It Need a Root Canal?
A dead tooth, or non-vital tooth, is when the pulp inside, containing nerves and blood vessels, dies due to dental pulp necrosis from deep decay or tooth nerve damage. This often happens after severe cavities, a crack, or a hard hit to the tooth cuts off the pulp’s blood supply, leading to issues like pain or swelling.
Endodontic treatment, commonly called a root canal, is a key restorative treatment that saves the dead tooth by removing the dead pulp, cleaning the tooth’s canals, and sealing them to prevent infection. This preserves your natural tooth, avoids the need for extraction or implants, and restores its ability to function for chewing and smiling confidently.
Symptoms of a Dead Tooth to Watch For
A dead tooth, or non-vital tooth, shows several warning signs that help you spot it early. One of the most common symptoms is tooth discoloration, where the tooth turns grayish or black due to dead pulp no longer supplying blood.
You might also feel persistent pain or sensitivity, especially when chewing or drinking hot or cold drinks, though this pain can suddenly stop as the nerve dies.
Read More: How long can a dead tooth stay in your mouth?
Swelling or tenderness in the gums, sometimes with a pimple-like abscess, signals an infection that may require periodontic services to treat gum issues. Bad breath or a bad taste in the mouth can also signal an infection inside the tooth. If persistent bad breath concerns you, check out our tips on choosing the best mouthwash for bad breath to keep your mouth fresh and healthy.

The Root Canal Process: What Happens Before and During
Understanding the dead tooth root canal before and after process can ease any worries. Root canal therapy is a straightforward procedure that saves your tooth by removing dead pulp and cleaning the canals. Here’s what happens before and during the treatment to prepare you and ensure a smooth experience.
Preparing for Your Root Canal Appointment
Before your root canal, you’ll meet with your dentist for a consultation and X-rays to assess the tooth’s condition. They’ll explain the procedure and answer any questions to calm your nerves. You may need to avoid eating heavy meals a few hours prior, especially if sedation is used.
If you’re on medications, inform your dentist, as some may need adjustment. Plan for a ride home if sedation is involved, and wear comfortable clothing. Arriving prepared (knowing what to expect and following these steps) helps ensure a smooth start to saving your tooth.
If you’re experiencing sudden pain or swelling, you might need an emergency root canal; our guide explains what to expect and how to prepare.
What Happens During a Root Canal Procedure
The root canal procedure is straightforward and designed to save your tooth without discomfort:
First, the dentist numbs the area with local anesthesia so you feel nothing. A rubber dam is placed around the tooth to keep it dry and clean.
Next, they drill a small hole to reach the dead pulp and infected tissue. Using tiny tools, they clean out the pulp chamber and root canals, removing all bacteria and debris.
Then, the canals are shaped, disinfected, and filled with a rubber-like material called gutta-percha to seal them.
Finally, a temporary filling goes in, and later, a permanent filling or crown may be added to strengthen the tooth. The whole process takes about one to two hours, depending on the tooth.

Tip: Keeping your enamel strong is key to long-term success of any filling or crown; understanding issues like tooth enamel erosion can help you protect your restored tooth for years.
After Root Canal: Recovery and Results
Once your root canal is done, the Post-Treatment Recovery phase begins, bringing relief from pain and restoring your tooth’s function. Most people feel better within a day or two, with mild soreness that fades quickly. The tooth, now free of infection, regains its ability to chew and looks natural, especially with a crown or filling.
Results often show a dramatic improvement, particularly if the tooth was discolored before. With proper care, your tooth can last for years, blending seamlessly with your smile.
Tips for a Smooth Root Canal Recovery
To ensure a quick and effective recovery, follow these practical tips:
- Avoid chewing on the treated side. Stick to soft foods like yogurt or soup for a few days to prevent stress on the tooth.
- To manage discomfort, take over-the-counter pain relievers like ibuprofen if you feel mild soreness, as it usually subsides quickly.
- Brush and floss gently around the treated area to avoid infection, but don’t skip oral hygiene.
- If discoloration lingers, ask your dentist about teeth whitening to restore the tooth’s natural look.
- Follow up with your dentist; schedule a visit for a checkup or a permanent filling or dental crown to protect the tooth long-term.
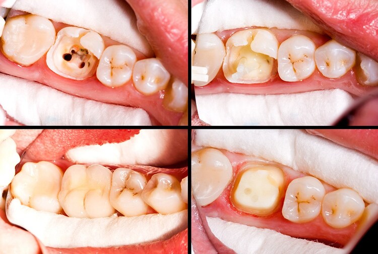
Before and After Root Canal: See the Real Results
Seeing the transformation after a root canal helps you understand just how effective this treatment can be. Beyond relieving pain, a successful root canal restores your tooth’s natural look and function, often making it hard to tell it was ever damaged. At Pape Dental Centre, many patients regain their confidence after treatment and are amazed at how seamless the results look.
Here’s a real experience from one of our Toronto patients:
“I noticed my front tooth turning gray after a bad fall, and it started hurting whenever I ate cold foods; it turned out to be a dead tooth from nerve damage. I was worried I might lose it, but the team at Pape Dental Centre explained the root canal treatment clearly and made me feel at ease.
Before the procedure, I had X-rays and felt nervous, but during the treatment, it was completely painless with local anesthesia. Afterward, the discoloration was gone thanks to a dental crown, and now my smile looks natural again. No more pain and I can eat anything I want!”
— Sarah K., Toronto Patient
Stories like Sarah’s show how a dead tooth root canal can completely restore both comfort and confidence. To see the difference for yourself, check some Before & After photos and explore real patient transformations:




Save Your Tooth; Restore Your Confidence!
Don’t ignore the signs of a dead tooth. A gentle root canal can stop infection, save your natural tooth, and bring back your healthy smile.
Book Your Consultation Today and take the first step toward a pain-free, confident smile.
Can a Dead Tooth Be Saved? Benefits of Root Canal
Yes, in most cases, a dead tooth can be saved through a root canal. When the pulp inside the tooth dies due to infection or trauma, it doesn’t necessarily mean the entire tooth is lost. A root canal removes the damaged tissue, disinfects the canals, and seals them, allowing the natural tooth structure to stay in place. This process is key to preserving your natural tooth and preventing further complications.
Here’s why saving a dead tooth with a root canal is often the best choice:
- Keeps your natural tooth intact: Instead of extraction or implants, you keep your own tooth root, which helps maintain proper bite alignment and jaw health. In cases where extraction might otherwise be considered, understanding options like same-day extraction for infected teeth can help you make an informed decision.
- Prevents the spread of infection: Cleaning and sealing the canals stop bacteria from moving deeper into the bone or neighboring teeth.
- Restores normal function: After the tooth is reinforced with a crown or filling, you can chew, speak, and smile comfortably again.
- Relieves pain and pressure: The procedure removes the infected nerve, eliminating discomfort while preserving the outer structure.
- Improves appearance: Discoloration or darkening can be corrected with internal whitening or a crown, helping your smile look natural again.
- Long-term stability: With proper care, a root-canal-treated tooth can last for many years, sometimes even a lifetime.
Restore Your Smile with a Root Canal
A dead tooth root canal before and after shows just how transformative modern dentistry can be. What begins as pain, discoloration, or worry about losing a tooth can end with complete comfort and confidence. By removing infection and restoring structure, a root canal not only saves your natural tooth but also brings back its strength, function, and natural beauty, helping you smile again without hesitation.
At Pape Dental Centre, we’ve helped countless patients restore their smiles through gentle, precise root canal treatments. Our experienced team uses advanced technology and compassionate care to make every visit as smooth and stress-free as possible. Whether your tooth is discolored, painful, or damaged, we’ll create a personalized plan to preserve your natural tooth and bring back your confidence.
FAQ
Is a tooth dead after a root canal?
No, the tooth isn’t “dead”; the pulp (nerve) is removed, but the tooth stays functional and nourished by surrounding tissues. It can last a lifetime with proper care.
What are the symptoms of a dead tooth?
Common signs include tooth discoloration (grayish/black), persistent pain or sensitivity (that may stop suddenly), swelling in the gums, or bad breath. Early detection prevents complications.
Is root canal treatment painful for a dead tooth?
No, it’s done under anesthesia and often less painful than the infection itself. Post-procedure discomfort is mild and manageable with over-the-counter pain relievers.
Can a dead tooth be saved with a root canal?
Yes, in most cases, it preserves the natural tooth, restores function, and avoids extraction or implants. With proper treatment, the success is generally very high.
Have questions about your own experience or want to share your story? Leave a comment below. We’d love to hear from you.