See Beyond the Surface with Safe & Accurate Dental X-Rays
Dental X-rays reveal hidden cavities, bone loss, and impacted wisdom teeth before they turn into bigger problems. At Pape Dental Centre on Danforth, we use low radiation digital imaging and adjust X-ray frequency based on your oral health and dental history.
Dental X-rays are diagnostic imaging tools that let dentists see beneath your teeth and gums to detect problems invisible during regular exams. These images reveal hidden cavities, tooth root issues, bone loss, and jaw abnormalities, helping catch problems early before they become serious. Modern digital X-rays use minimal radiation while providing instant, clear results. By identifying dental issues in their early stages, X-rays help prevent painful complications and save you money on extensive treatments, making them essential for maintaining good oral health.
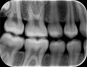
Show the upper and lower teeth in one area of the mouth to detect cavities between teeth and check bone levels. They’re commonly taken during routine checkups to help monitor your oral health over time.
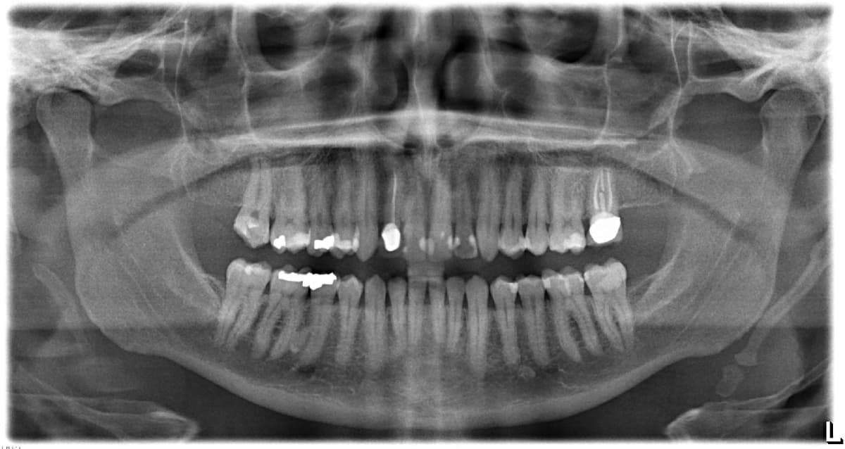
Provide a wide view of the entire mouth, including all teeth, jaws, sinuses, and surrounding structures in a single image, ideal for assessing wisdom teeth and jaw problems.
Focus on one or two specific teeth from crown to root tip, showing the entire tooth structure and surrounding bone to diagnose infections, abscesses, or root issues.
Advanced 3D cone beam imaging that creates detailed cross-sectional views of teeth, soft tissues, nerve pathways, and bone for complex procedures like implants and oral surgery.
Specially designed low-radiation X-rays for children to monitor tooth development, detect early cavities, track permanent teeth growth, and identify spacing or alignment issues.
Three-dimensional imaging technology that provides complete views of dental structures from multiple angles, enabling precise treatment planning for implants, orthodontics, and surgical procedures.
All of our dentists are active members of the Ontario Dental Association (ODA) and the Royal College of Dental Surgeons of Ontario (RCDSO).
EXCELLENT Based on 103 reviews Posted on Brandon HusseyTrustindex verifies that the original source of the review is Google. As someone who has been terrified of dentists, I personally recommend this dental office. Staff is very nice, understanding and professional. Minimal pain and discomfort. My worst enemy has been my own anxiety.Posted on Nasrin AskariTrustindex verifies that the original source of the review is Google. I had a great experience with my dental hygienist ( Hengameh). Hengameh was kind, calm, and very gentle, which made the whole appointment comfortable and stress-free. She was also highly professional and attentive throughout. I truly appreciated her care. I also had a wisdom tooth extraction, and I can’t thank my dentist ( Dr. Sasan ) enough for how smoothly everything went. The tooth was in bad shape and difficult to remove, but Dr. Sasan was incredibly skilled, calm, and patient throughout the entire procedure. He made sure I was comfortable at every step and constantly checked to ensure I wasn’t feeling any pain. His gentle and reassuring approach made a stressful situation so much easier. I really appreciated how professional yet kind he was the whole time. If you’re nervous about dental procedure, I highly recommend this clinic and Dr.Sasan . You’ll be in very capable and caring hands!Posted on Elena LebesiTrustindex verifies that the original source of the review is Google. The atmosphere of the office is very friendly, and the doctor explains everything thoroughly. Overall, the service is excellent. Highly recommended!"Posted on Elona PinaTrustindex verifies that the original source of the review is Google. They have excellent service, from the reception to the dentists I have had a very good experience at Pape Dental.Posted on Walter BoydTrustindex verifies that the original source of the review is Google. Very professional. All staff made me feel welcome and at ease. Highly recommended.Posted on Maung LwinTrustindex verifies that the original source of the review is Google. I am very happy with all of Dentists and services, Strongly recommend.
Yes, dental X-rays are very safe. Modern digital X-rays use up to 90% less radiation than traditional film, with exposure comparable to natural daily radiation. Dentists use lead aprons for extra protection, and the benefits of early detection far outweigh minimal radiation risks.
Dental X-rays reveal hidden problems like cavities between teeth, root infections, bone loss, and impacted teeth that aren’t visible during exams. This imaging helps dentists diagnose accurately and plan treatments like root canals, implants, and orthodontics for successful outcomes.
The process takes 5 to 10 minutes and is painless. You’ll wear a lead apron while the assistant positions a sensor in your mouth. Bite down gently and stay still for a few seconds. Digital X-rays provide instant results your dentist can review immediately.
Decayed areas, Bone loss, Abscess, Position of the tooth, Cavities, Tumors, Available space for erupting teeth
Yes, dental X-rays are covered by most insurance plans in Ontario and under the Canadian Dental Care Plan (CDCP). Coverage typically includes routine bitewing, panoramic, and periapical X-rays as part of preventive care. Our team helps verify your benefits and submits claims directly to your provider.
Yes, same-day dental X-rays are available at Pape Dental Centre on Danforth. Our digital X-ray technology produces instant images, so your dentist can review results and discuss findings during the same visit. Walk in and emergency patients can also receive same day imaging when needed.
The cost of dental X-rays in Toronto follows the Ontario Dental Association (ODA) fee guide, which sets standard pricing across the province. The exact cost depends on the type of X-ray needed, such as bitewing, panoramic, periapical, or CBCT imaging. Most dental insurance plans and the Canadian Dental Care Plan (CDCP) cover dental X-rays as part of routine diagnostic care. Call Pape Dental Centre at (647) 250-9685 for a personalized estimate based on your needs and coverage.
Pape Dental Centre: Your Trusted Dental Clinic, Proudly Serving the Communities of East York, Greektown, Danforth, Broadview North, Playter Estates Danforth, North Riverdale, South Riverdale, Riverdale, Blake Jones, and surrounding areas.