It’s completely normal to feel concerned when you notice your gums getting darker. Healthy gums are usually pink, so any change in their color can catch your attention and make you wonder what’s going on. This blog will guide you through the common black gums causes, the health conditions that can contribute to gum discoloration, and the best ways to prevent and treat them.
Common Causes of Black Gums
Not all cases of black gums are a sign of disease. Sometimes, it’s just the way your body is. Let’s explore the main reasons why gums might look darker than usual.
1. Genetics and Natural Pigmentation
Just as skin tone varies among people, gum color can differ, too. People with more melanin in their skin often have naturally darker gums that may appear brown, gray, or even black. This condition is called gum hyperpigmentation and is not harmful. However, it can sometimes make people self-conscious about their smiles. If the discoloration has been present since childhood and hasn’t changed over time, it’s most likely genetic and not a cause for worry.
2. Smoking and Tobacco Use
Tobacco is one of the biggest culprits behind black gums. The chemicals in cigarettes and chewing tobacco stimulate excessive melanin production, leading to what dentists call smoker’s melanosis. This discoloration is usually harmless but can mask early signs of gum disease.

3. Poor Oral Hygiene
When oral hygiene is neglected, plaque and tartar build up along the gumline. This can irritate the gums, leading to inflammation and eventually gum disease. In its advanced stages, gum disease may cause gums to darken or develop black patches as blood circulation is compromised. Poor hygiene also makes it easier for bacteria and infections to spread, which can cause further changes in gum color.
Read more: Oral Health Care Tips: Essential Tips for Healthy Teeth and Gums
4. Medication Side Effects
Some medications are known to cause gum discoloration as a side effect. For instance, the antibiotic minocycline can leave grayish or black stains on gum tissue, and antimalarial drugs may trigger pigmentation changes. In this case, the staining itself is not harmful, but it can affect the appearance of your smile. If you suspect your medication is affecting your gums, you should speak with your doctor or dentist before making any changes.
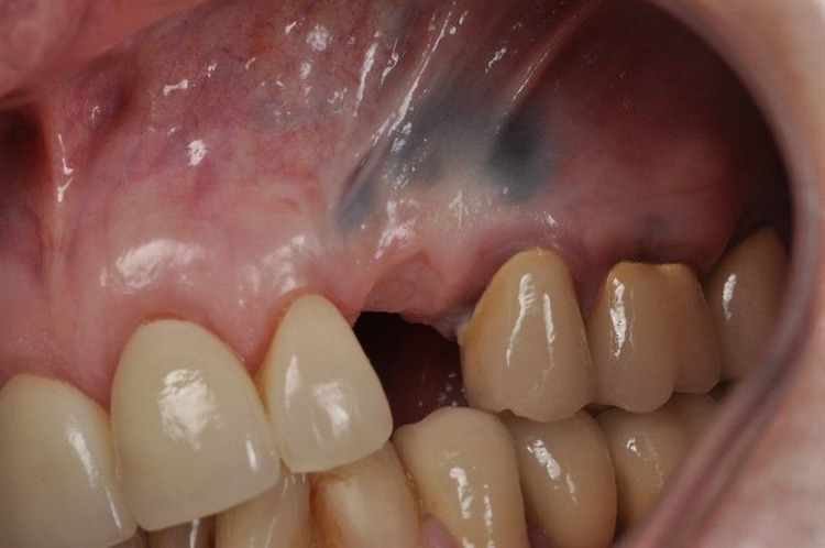
5. Amalgam Tattoos
If you’ve ever had a silver dental filling, you may notice a tiny dark spot near the treated tooth. This is called an amalgam tattoo. It happens when a small fragment of the filling material becomes embedded in the gums during dental work. Amalgam tattoos are completely harmless and don’t require treatment, but they can be mistaken for something more serious. Your dentist can usually identify an amalgam tattoo quickly during a periodontal examination.

Health Conditions Linked to Black Gums
Black gums aren’t always a cause for concern and can sometimes be due to natural reasons. But in some cases, this change in color may point to a medical condition that needs attention. Here are some medical conditions that may be linked to gum discoloration.
1. Advanced Gum Disease
Gum disease is one of the most common dental problems and can sometimes cause gums to appear darker. In the early stage, called gingivitis, gums become swollen, red, and prone to bleeding. If you leave them untreated, it can progress into periodontitis, a severe infection that damages the tissue and bone supporting your teeth.
In advanced cases, the restricted blood flow and bacterial buildup may cause black or very dark gums. This condition has other symptoms, such as persistent bad breath, gum recession, and loose teeth.
2. Addison’s Disease
Addison’s disease is a rare disorder that happens when the adrenal glands don’t produce enough essential hormones like cortisol and aldosterone. One of the signs is increased melanin in the body, which can lead to dark spots on the skin and gums. These patches usually appear as blue or black areas inside the mouth.
If this symptom is seen along with other symptoms like extreme fatigue, low blood pressure, or weight loss, it might be worth checking for Addison’s with your doctor.
3. Peutz-Jeghers Syndrome
This genetic condition is known for causing dark blue or black spots around the lips, inside the mouth, and on the gums. These spots are not harmful by themselves; however, people with Peutz-Jeghers Syndrome are at higher risk of developing certain types of cancer and intestinal polyps. If gum spots appear alongside other symptoms like abdominal pain or digestive issues, a medical evaluation is necessary.

What’s the difference between Addison’s Disease and Peutz-Jeghers Syndrome?
Addison’s disease is a hormonal disorder where the adrenal glands don’t make enough hormones, leading to certain problems, including dark patches on the gums and skin due to excess melanin. In contrast, Peutz-Jeghers Syndrome is a genetic condition that causes dark spots on the gums, lips, and mouth from childhood and is linked to intestinal polyps and a higher risk of certain cancers.
4. Oral Cancer
Oral cancer can appear as dark patches, spots, or sores on the gums that don’t heal. Unlike benign pigmentation, cancerous lesions often change shape, grow in size, or cause pain and discomfort. If you notice any unusual black or dark lesions that persist for more than two weeks, it’s crucial to get checked immediately. Oral cancer can be life-threatening if caught late, but early detection dramatically improves treatment outcomes.
5. Heavy Metal Exposure
Exposure to heavy metals such as lead, mercury, or bismuth can cause dark lines or patches along the gums, often referred to as a “lead line.” These discolorations occur when metals accumulate in the body and affect soft tissues. People with occupational exposure (such as in certain manufacturing industries) are more at risk.
6. Acute Necrotizing Ulcerative Gingivitis (ANUG)
ANUG is a severe and painful gum infection caused by harmful bacteria. It develops quickly and is often linked to poor oral hygiene, stress, smoking, or a weakened immune system. One of the key symptoms of ANUG is the presence of black or grayish patches on the gums. These dark areas are actually dead gum tissue caused by the infection cutting off the blood supply; a process known as necrosis.
Contact Us for Help!
If you’re dealing with gum discoloration or simply want to protect your oral health more actively, contact us at Pape Dental Centre today. Our team will examine your dental condition and determine the best treatment accordingly.
How to Prevent Black Gums
If you don’t have dark gums, it’s best to learn how to prevent them. Here are some prevention tips to stay away from black gums.
- Brush your teeth twice daily and floss once a day.
- Visit your dentist regularly for cleanings and checkups.
- Quit smoking and avoid tobacco products.
- Manage medical conditions with the help of your doctor.
- Use a fluoride toothpaste and antibacterial mouthwash.
Read more: How Dental Hygienists Help Prevent Gum Disease
Treatment Options for Dark Gums
The right treatment depends on the cause of the discoloration. If gum discoloration is due to poor oral hygiene, professional cleaning is often the first step. Dentists and dental hygienists use specialized tools to remove plaque and tartar buildup. Moreover, for gum diseases and infection, periodontic services are recommended.
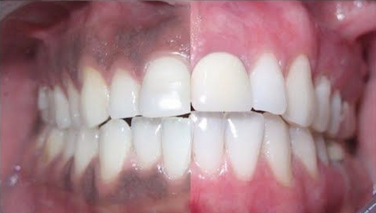
For patients who have naturally dark gums due to excess melanin and wish to lighten them for cosmetic reasons, gum depigmentation may be recommended. This is a safe procedure in which a dental laser gently removes the top layer of pigmented gum tissue, revealing pinker gums underneath. It is painless, minimally invasive, and provides long-lasting results. Many patients choose this option to achieve a brighter, more even smile.
However, when gum discoloration is linked to systemic health problems, the best solution is to treat the underlying cause. This might involve hormone therapy, medical monitoring, or avoiding exposure to harmful substances. Your dentist will work closely with your physician to ensure that both your oral and overall health are protected.
Tip: Never try to bleach or scrub away dark gums at home. This can damage your gum tissue and make the problem worse. Always seek professional advice first.
Conclusion
Black gums can happen for many reasons, from natural pigmentation to serious health conditions. While some causes are harmless, others may need urgent attention. The key is not to panic but to get a professional evaluation.
At Pape Dental Centre, we’re here to keep your smile not only bright but also healthy. Schedule an appointment with us today, so our dentists near you on Danforth will help you find the cause and provide the best solution.
FAQ
-
Why are my gums turning black?
It could be natural pigmentation, smoking, medication side effects, or a sign of gum disease. If the change is sudden or unusual, see your dentist.
-
How to get rid of black gum?
Treatment depends on the cause. Professional cleaning, gum depigmentation, periodontic treatments, quitting smoking, or managing underlying conditions may help.
-
Does black gum mean infection?
Not always. Black gums can be natural, but in some cases, they may indicate gum disease or other health conditions. It’s best to get checked by a dentist.
-
What color are unhealthy gums?
Unhealthy gums are usually red, swollen, or bleeding. Dark or black gums can also be a concern if the color change is new or accompanied by other symptoms.
Have you ever noticed changes in your gum color? Share your thoughts or questions in the comments below; we’ll be happy to help!